咳嗽可能会引起疾病的爆发,甚至引起一个大陆蔓延到另一个大陆的流行病。现代医学能够控制毁灭性传染病的传播,甚至根除天花。但是大多数情况下,这些传染病仍潜伏在我们身边,经常袭击最贫穷地区和最脆弱的人。
TOP1、天花
1975年拍摄了一张孟加拉国农村墓地照片,那里埋葬着许多天花受害者。据说孟加拉国达卡一家医院里46%的受害者都是因它而死,数百年来该国一直受到天花侵害。
图片:CDC/ World Health Organization; Stanley O. Foster/ Pierre Claquin
科学家认为天花是导致皮肤损伤的原因,大约在3000年前的印度或埃及出现,然后横扫各大洲。据世界卫生组织的数据,天花病毒杀害多达三分之一的感染者,并让其他人被传染留下祸根。1980年世界卫生组织宣布经过长达10年的疫苗接种运动,该疾病能正式被根治。最后剩下的病毒样本被保存在美国和俄罗斯设备中。
TOP2、鼠疫
图片:Hulton Archive/Getty Images
与天花不同,鼠疫这个古老的杀手仍然与我们同在。鼠疫是由跳蚤携带的一种细菌引起,在黑死病期间,包括14世纪欧洲在内的许多社会都受到了威胁,当时有大约三分之一的人口死亡,包括瑞士的巴塞尔。这种疾病有三种形式,但最著名的是淋巴腺鼠疫,它的特征是淋巴结肿大和淋巴结疼痛。鼠疫能在世界各地的动物身上找到,特别是在美国西部和非洲。2016年9月世界卫生组织报告了全世界783例鼠疫疾病(死亡病例有126例)。
TOP3、疟疾
尽管疟疾是可以预防和治愈的,但据世界卫生组织数据,疟疾在非洲具有毁灭性的影响。在非洲,疟疾造成儿童死亡人数占儿童总死亡病例20%。疟疾是由吸血蚊子携带寄生虫引起的,患者首先有发热、发冷和类似流感的症状出现,然后再出现更严重的并发症。
图片:Paula Bronstein/Getty Images
1951年在杀虫剂DDT的帮助下,这种疾病从美国消失了。据美国疾病控制与预防中心数据,世界卫生组织发起的根除疟疾运动仅在一些地方取得了成功,因此其目标降为减少该疾病传播。世界卫生组织分发了所谓的长效杀虫蚊帐,以避免携带疟疾的蚊子叮咬人类,柬埔寨就包括在内。
TOP4、流感
图片: CDC/ Doug Jordan, M.A.
这个3D模型展示的是一种普通流感病毒(有不同类型)。根据世界卫生组织数据,季节性呼吸道感染造成严重病例约有300万至500万例,全球每年约有25万~50万人死亡。然而周期性病毒感染更具破坏性。1918年全球约有5000万人因流行病死亡。从近年来“猪流感”和“禽流感”造成的恐慌来看,一些流感病毒可以跨越物种传播。
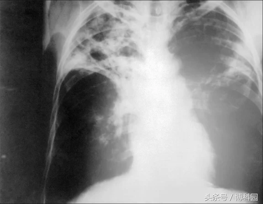
TOP5、肺结核
可能致命的“肺结核”是由结核分枝杆菌引起,这种细菌通常会攻击肺部并引起咯血。图中x射线显示了一位患有晚期肺结核的病人胸部。这种细菌并不能使每个人感染肺结核,目前世界上有三分之一的人携带了这种细菌。
图片:CDC
在感染了结核病(但不是艾滋病毒)的人群中,有5%到10%的人在一生中有一段时间患病或感染。在感染艾滋病毒的人群中,感染结核病更为常见。据世界卫生组织数据:结核杆菌与破坏免疫系统的艾滋病病毒形成了“致命的联盟”,患上其中一种疾病会使另一种疾病恶化。
TOP6、艾滋病
世界卫生组织统计,2015年年底约有3670万人感染了人类免疫缺陷病毒(HIV),约有110万人死于这种病毒。尽管这个疾病名单上的许多最严重患者与人类有着长期联系,但艾滋病病毒是最近才出现的。
图片: Image courtesy of Ivan Konstantinov, Yury Stefanov, Aleksander Kovalevsky, Yegor Voronin – Visual Science Company
艾滋病毒对某些免疫系统细胞的影响于1981年首次被记录在案。通过破坏部分免疫系统,艾滋病毒使其受害者容易受到各种机会性疾病的伤害。这种病毒是从猿类的免疫缺陷病毒(SIV)中产生,这种病毒会感染猿和猴子。
TOP7、霍乱
霍乱会导致急性腹泻,如果不及时治疗,严重感染的人会在数小时内死去。引起霍乱的细菌通常会出现在被感染者粪便和受到污染食物或水里。由于卫生条件的改善,在过去的100年里,工业化国家的霍乱病例非常罕见。据世界卫生组织的数据,19世纪霍乱从印度传播开来,造成了6次大流行,导致全球各地数百万人死亡。
图片:CDC
1992年秘鲁的一场霍乱流行期间,一间医院候诊室被改成了紧急霍乱病房。最近海地爆发的霍乱疫情始于2010年的毁灭性地震之后。据《Slate》杂志报道,截至2016年4月海地已有9000多人死亡,约775000人患病。
TOP8、狂犬病
狂犬病在美国不再是一个重大威胁,但在世界其他地区仍然是一个致命的问题。世界卫生组织称,在非洲和亚洲国家每年有“数万人”因狂犬病去世。美国每年大约有两个人死于这种疾病。这种疾病通过被感染动物的唾液传播给人类,特别是狗。狂犬病最初症状很难在人类身上发现,因为最初的症状与流感类似。
图片:Victoria Antonova / Shutterstock
感染者会出现全身虚弱、不适和发烧的症状。根据疾病控制与预防中心的数据,随着病情愈发加重,患者可能会出现精神错乱、行为异常、幻觉和失眠等症状。到目前为止,只有不到10人出现症状并幸存下来。然而狂犬病疫苗确实存在,通常在预防病毒感染和治疗感染者开始表现症状之前非常有效。
TOP9、肺炎
图片:National Institute of Allergy and Infectious Diseases (NIAID)
肺炎不会引起像狂犬病或天花这样疾病类似的恐惧,但肺部感染可能是致命的,尤其是对65岁以上或5岁以下的人来说。美国匹兹堡大学医学中心卫生安全中心的传染病专家和高级助理的Amesh Adalja博士说:这种疾病可能是由细菌、病毒或两者结合引起的,一个人也可以从真菌感染、寄生虫或对某些药物的反应中感染肺炎。美国疾病控制与预防中心的数据显示,2014年有50622美国人死于肺炎。
TOP10、传染性腹泻
轮状病毒是病毒性肠胃炎(胃和肠炎)最常见的的病因,病毒性肠胃炎是一种可以致命的腹泻病。根据世界卫生组织数据,2013年轮状病毒在全球范围内杀死了21.5万名5岁以下儿童。其中大约22%的死亡病例发生在印度。这种病毒会导致脱水,引起严重的水样腹泻和呕吐。
TOP11、埃博拉
埃博拉尽管很罕见,但埃博拉病毒是由埃博拉病毒的五种毒株之一引起致命感染。病毒传播非常迅速,克服了机体的免疫反应,引起发烧、肌肉疼痛、头痛、虚弱、腹泻、呕吐和腹痛。一些感染埃博拉病毒的人在晚期时鼻子和嘴巴会出血——这是一种被称为出血性综合症疾病。
最近一次的埃博拉疫病于2014年在西非爆发,这次爆发被认为是历史上规模最大的一次。根据CDC的报道:截至2016年4月约有11300人在此次疫情中死亡,其中疑似病例和确诊病例有28652例。埃博拉病毒通过体液传播,健康人类接触感染者的血液或分泌物,或者接触含有这些液体的物体(比如衣服或床上用品)会感染埃博拉病毒。
TOP12、变异型克雅氏病(vCJD)
关于变异型克雅氏病,它的名字不是唯一复杂事情。这种罕见的致命疾病被归类为传染性海绵状脑病(TSE),因为它不仅可以从牛传播到人,而且海绵状组织可能会引起脑组织变成“海绵状”。当人们食用患有牛海绵状脑病(BSE)牛肉时,就能获得vCJD。这种病类似于在牛身上发生的vCJD。在1996年至2011年3月期间,联合王国和其他几个国家报道了大约出现了225例vCJD病例。在1996年之前科学家们不知道人们可以通过食用含有疯牛病的肉类感染CJD。
图片:DanVostok / Shutterstock
大多数人在那之前就患有这种疾病,偶尔会因为某种特殊的基因突变而受到感染。 在所有报告的病例中,约有5%的病例是通过受污染的手术设备或眼睛和脑组织移植感染。感染vCJD个体往往比感染CJD的个体年轻。根据世界卫生组织的数据,vCJD患者的中位数年龄为28岁,而CJD患者的年龄中位数为68岁。感染vCJD的人往往表现出精神症状,包括抑郁、冷漠或焦虑。注:vCJD——变异型克雅氏病,CJD——克雅氏病
TOP13、马尔堡
马尔堡病毒属于丝状病毒科病毒,其定义特征是病毒颗粒丝状形态。马尔堡病毒病(MVD),是通过体液传播,就像埃博拉病毒一样。马尔堡病毒与埃博拉病毒还有其他共同点。它是由属于狐蝠科的果蝠传播给人类,并能引起某些病人病毒性出血热。据世界卫生组织数据,马尔堡病毒1967年在德国首次被发现。
图片:Frederick Murphy
当时实验室工作人员处理从乌干达进口的受感染猴子不小心感染了这种病毒。猴子和人类一样,也会感染马尔堡病毒。然而果蝠并不会因马尔堡病毒(或埃博拉病毒)而生病,因为果蝠只是病毒的宿主。研究人员认为蝙蝠携带如此多可以让人类生病而不会让自己生病的病毒,至少部分是因为它们有飞行能力。
TOP14、中东呼吸综合症(MERS)
图片:Kateryna Kon / Shutterstock
就在你认为狐蝠科果蝠不可能变得更可怕的时候,事实证明它们是可以的。这些大眼睛、吃水果的蝙蝠也是中东呼吸综合征(MERS)宿主。MERS是一种病毒性呼吸道疾病,于2012年首次在沙特阿拉伯发现。患有MERS冠状病毒(MERS- cov)的人会出现严重的呼吸道疾病,包括发烧、咳嗽和呼吸短促等症状。根据疾病预防控制中心数据,这种疾病通常是致命的。
TOP15、登革热
根据世界卫生组织和美国疾病控制和预防中心数据,每年全世界估计有5万人死于蚊子传播的病毒,登革热是其中之一。(疟疾不包含在内,因为它是由寄生虫引起而不是一种病毒)登革热是由DENV 1、DENV 2、DENV 3和DENV 4其中一种病毒引起。蚊子通常是埃及伊蚊(如图所示),但有时是白纹伊蚊将这种疾病从一个人传播到另一个人。
图片:PongMoji / Shutterstock
人们不可能从另一个人那里感染登革热。患有此病的人通常会出现类似流感的症状。据世界卫生组织称,有时这种病毒会导致一种潜在致命并发症出现,即“严重登革热”或登革出血热,会伴随着发烧、腹痛、呕吐、出血和呼吸困难等症状。
TOP16、黄热病
就像登革热一样,黄热病属于黄病毒科,它是由蚊子从一个人传播到另一个人身上。这种疾病的名称来自于一小部分受感染患者的症状:黄疸或者皮肤和眼睛发黄。然而大多数感染病毒的人不会出现黄疸或其他严重症状。那些出现这种症状的患者中,有一小部分已经进入第二阶段——毒性更大的疾病阶段,这种疾病会影响身体系统,包括肝脏和肾脏。
图片:Hu Laboratory for Biolocomotion, Georgia Tech
根据世界卫生组织数据,进入黄热病毒性阶段的一半患者在7到10天内死亡。幸运的是在中美洲、南美洲和非洲的47个黄热病流行的国家中,有一种非常有效的疫苗可以预防这种疾病。17世纪的情况并非如此,当黄热病首次被传染到北美和欧洲时,那里发生大规模疫情,在某些情况下,还造成了人口锐减。
TOP17、汉坦病毒
汉坦病毒由啮齿类动物传播给人类,特别是老鼠。如果直接接触到这些动物的身体分泌物,或者从那些已经变成烟雾的分泌物中吸入病毒颗粒,人们就会感染上汉坦病毒。1993年在美国西南部的福克纳斯,一种神秘疾病夺去了几个年轻人的生命。
图片:CDC/James Gathany
在24名患者中有一半的人最初感染了名为汉坦病毒肺综合征的严重呼吸道疾病。在亚洲、欧洲和美国中部和南美的一些地区,汉坦病毒可以导致另一种严重的疾病出现,即肾综合征出血热。这种疾病的初期症状类似于HPS,包括发热、呕吐和眩晕,但出血热肾病综合征会导致出血和肾衰竭。
TOP18、炭疽
你可能熟悉2001年9月在美国发生的炭疽病。这一事件导致5人死亡,17人患病,这被认为是美国历史上最严重的生物袭击事件。炭疽病是一种由炭疽杆菌引起的传染病。炭疽杆菌生活在土壤中,通常感染野生动物和家畜,如山羊、牛和羊。
图片:CDC/ Laura Rose
人类通常在处理受感染的牲畜或动物产品时感染上这种病。虽然当细菌孢子进入皮肤时,会受到感染,但那些使用动物皮或羊毛的人可能会通过呼吸感染炭疽杆菌。这种通过肺部感染的方法更为致命,报告显示其中92%的病例都走向了死亡。
TOP19、“超级细菌”耐甲氧西林金黄色葡萄球菌(MRSA)
耐甲氧西林金黄色葡萄球菌(MRSA)是一种“葡萄球菌”细菌,能够引起危及生命的皮肤和血液感染,并且对大多数用于治疗此类感染的抗生素具有耐药性。
MRSA对抗生素的耐药性始于上世纪40年代,当时医生开始用青霉素治疗葡萄球菌感染。根据《哈佛杂志》的一项研究,该药物的过度使用(和误用)帮助微生物在10年内对青霉素产生耐药性,这导致医生开始用药物甲氧西林治疗葡萄球菌感染。
图片:National Institute of Allergy and Infectious Diseases (NIAID)
但是MRSA也对甲氧西林产生了抗药性。事实上超级细菌现在对许多青霉素类抗生素有抗药性,包括莫西林、奥沙西林、双氯西林和所有其他抗生素的内酰胺类抗生素。根据梅奥诊所所说:感染葡萄球菌的皮肤在刚开始时候会出现红色小肿块,随着病情加重会变成需要手术治疗的大脓肿。更严重的细菌感染会在全身每一处地方发作,包括血液、心脏和骨骼,这种感染可能是致命。
TOP20、百日咳
图片: Ilike | Shutterstock
百日咳是一种由百日咳杆菌引起的呼吸道细菌感染疾病。正如它的名字说的那样,百日咳的症状是严重的咳嗽。据美国疾病控制与预防中心(CDC)的数据,百日咳对婴儿来说尤其危险,因为他们可能会因长期咳嗽窒息或呼吸暂停。据美国疾病控制与预防中心报道,患百日咳的婴儿大约有50%都需要住院治疗,而住院治疗的儿童中,25%的婴儿患有肺部感染。在2000年至2012年间,死于百日咳(87%)的人大多数是不足3个月大的婴儿。
TOP21、破伤风
图片:Devil007 / Shutterstock
预防百日咳疫苗也可以保护免受破伤风的侵袭,破伤风是由破伤风杆菌引起的细菌感染。破伤风杆菌一旦进入人体,会产生引起痛苦的肌肉收缩的毒素。该疾病会首先侵害人体的颈部和下巴,因此破伤风还有另一个名字——“牙关紧闭症”。引起破伤风的细菌生活在淤泥或土壤中(污垢周围,如生锈的钉子),以及动物和人的肠道中,是通过皮肤进入人体中。
TOP22、脑膜炎
脑膜炎是指脑膜炎症,这种传染病可以由许多东西引起,包括真菌、病毒和细菌。细菌性和病毒性脑膜炎是最常见的类型,可以从一个人传播到另一个人。细菌性脑膜炎通常是通过接吻传播的,但根据疾病控制中心所说:病毒型脑膜炎通常是通过接触感染者的粪便传播(比如在换尿布时,或者当一个人在使用完厕所后不洗手的时候)。
有些人在头部受伤、脑部手术或某些癌症之后会患上脑膜炎。这种类型的脑膜炎并不具有传染性,也不是真菌脑膜炎,但这导致了2012年美国脑膜炎的爆发(图上显示的是一种感染了真菌脑膜炎的大脑)。有些人得了脑膜炎球菌病,这是由脑膜炎奈瑟菌引起。根据疾病控制中心数据,这种疾病会引起类似流感样症状,包括恶心、呕吐、对光线更为敏感和精神状态异常或混乱。
TOP23、梅毒
梅毒是一种容易治疗的性传播疾病,但如果治疗不当,可能会导致严重的并发症。在疾病第一阶段,人的生殖器或肛门上会出现溃疡。通常这些溃疡都很小而且是没有痛感的,它们会自行愈合,于是许多人都忽略了它们,或者将它们与长毛或疤痕混淆。第二阶段比较明显,通常身体的一个或多个部位开始出现皮疹。有时这些疹子会很不起眼,因为没有瘙痒感,感染了这种疾病的人可能都不知道他们得了这种病。
图片: CDC
其他人可能会出现更严重的症状,如发烧、淋巴腺肿大和肌肉疼痛。疾病预防控制中心称,如果梅毒在疾病的第一阶段和第二阶段未得到治疗,它可能会在以后引起更严重的问题。有些人在感染梅毒后的10到30年内不会出现任何症状。晚期症状包括协调肌肉运动困难、麻痹、麻木、失明和痴呆。这种疾病也会损害内部器官,从而导致死亡。
TOP24、非典
图片:CDC/ Dr. Fred Murphy
严重急性呼吸系统综合症是2002年和2003年的流行病,在全球范围内造成超过750人死亡。SARS是由蝙蝠传播给人类,就像埃博拉病毒、马尔堡病毒和中东呼吸综合征一样。据美国国立卫生研究院成,SARS病毒可能起源于中国的菊头蝠。它是一种冠状病毒,是以在显微镜下观察病毒时的冠状病毒的外观命名。SARS发病特征是发高烧、干咳、呼吸急促和肺炎。
TOP25、麻风病
麻风是一种具有传染性的慢性疾病,由麻风杆菌引起,同时也被称为汉森病,麻风病会影响皮肤、外周神经、上呼吸道和眼睛。如果不及时治疗,会导致肌肉无力、畸形和永久性神经损伤。患有麻风病的人过去曾被隔离以防止疾病的传播,但现在医生知道,这种疾病的传染性并不是很强。
图片:Gwen Robbins
当感染者咳嗽或打喷嚏时,病毒会通过液滴传播。美国国家医学图书馆称,简单地触摸一个患有麻风病的人通常不会受到感染,健康人的免疫系统通常能抵御引起这种疾病的细菌的感染。然而儿童比成人更容易患麻风病。科学家说一具来自印度的距今4000年的骨骼化石可能是该疾病最早的考古学证据。
TOP26、麻疹
麻疹是所有传染性疾病中最具传染性的疾病之一,它会让皮肤上出现红疹。这种病毒性疾病的其他症状类似于普通感冒。疾控中心表示,麻疹的传染性如此强大,以至于有90%的人仅仅站在携带病毒人附近就会受到感染。
图片:CDC/ Cynthia S. Goldsmith; William Bellini, Ph.D.
近距离意味着在50英尺内,甚至是在被感染的人离开了房间两个小时后进入患病者的房间。幸运的是,有一种简单的方法可以保护自己免受麻疹病毒的侵袭:接种疫苗。在1000名接种过麻疹疫苗的人中,997人永远不会得这种病。
TOP27、塞卡
寨卡病毒最早于1947年在非洲被发现,它是一种由伊蚊属蚊子传播的黄病毒。虽然寨卡病毒引起的疾病对大多数人来说并不是特别危险,但它会给胎儿和新生儿带来严重的并发症。
图片:COURTESY OF KUHN AND ROSSMANN RESEARCH GROUPS, PURDUE UNIVERSITY
根据美国疾病控制与预防中心的数据,只有五分之一的人感染了这种病毒。那些患病的人可能有发烧、皮疹、关节疼痛和结膜炎(粉红眼睛)的症状出现,但这些症状通常是轻微的,而且只会持续几天。然而据美卫生组织称,严重的出生缺陷(尤其是小头畸形)与寨卡病毒有关,而且这种病毒还可能导致孕妇流产。














